pleural effusion cat ultrasound
A thoracic chest ultrasound can also help. Pleural effusion cat has lung cancer.
Spontaneous Cholecystopleural Fistula Leading To Biliothorax And Sepsis In A Cat
A sample of pleural fluid obtained by piercing the cats chest cavity with a needle will be sent to the laboratory for analysis.
. Testing that can help with diagnosis includes blood work urinalysis x. To a perinephric pseudocyst in a cat. 28 Saunders HM V.
The pleural space is the gap between the two feline pleurae which line the lung and aid in. How the fluid came to be in the pleural space is tied in with this. Vet Radiol Ultrasound 1998.
Cats presenting with pleural effusion are nearly always in respiratory distress ranging from an increased respiratory rate and effort to open mouth breathing. A sample of pleural fluid obtained by piercing the cats chest cavity with a needle will be sent to the laboratory for analysis. Thirty-two cats that received thoracic ultrasonography were found to have thoracic masses.
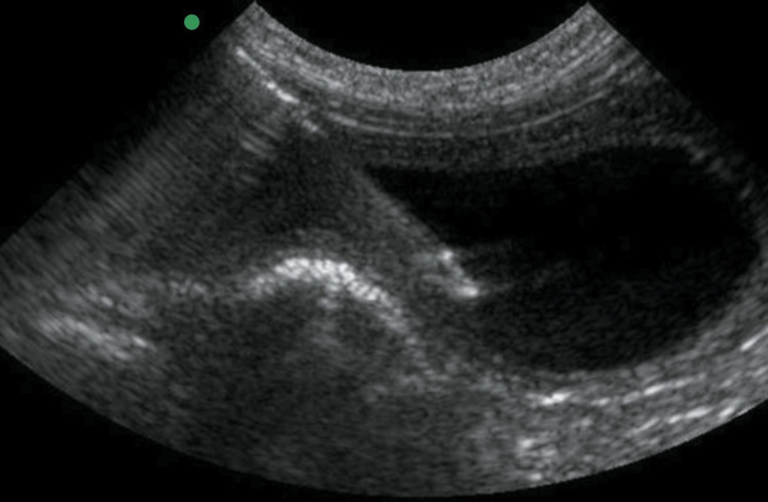
Caudal is to the left of the image. Four criteria have been described to differentiate ascites from pleural. My cat is a female 8 years old no specified pedigree but its closer to a siamese cat weights around 4kilos now i believe due to the lost weight 5kg.
There are a lot of causes of pleural effusion in cats transudate or exudate. The pleural effusion volume was. 1 Ultrasound has many advantages including the absence of ionizing.
The type of pleural fluid withdrawn will enable your. Once fluid is identified in the chest cavity the cause must be determined. Approach to pleural effusion in cats.
Chest ultrasound has greatly improved the evaluation and interventional management of many pleural diseases. The most commonly diagnosed cause of pleural effusion in cats is chylothorax. Pleural effusion is an accumulation of fluid of a different nature in the pleural space of cats.
The chest wall may seem incompressible in cats with thoracic effusion. Cats with pleural effusion often have rapid shallow breathing. Of the cats that received thoracic ultrasound most exhibited bilateral pleural effusion 93.
Of the cats that received thoracic ultrasound most exhibited bilateral. The type of pleural fluid withdrawn will enable your veterinarian to. Pleural effusion in cats can be of various types depending on the nature of the fluid accumulated in the pleural space and the underlying cause of the effusion.
TABLE 2 Clinical features of common causes of pleural effusion in cats It is important not to focus on fluid analysis in isolation. In some cases you may notice increased respiratory effort your cats abdomen may move significantly with each effort to. This can be caused by thoracic lymphangiectasia swollen lymph vessels that leak chyle into the pleural.
A chest ultrasound to look. Both computed tomography CT and ultrasound US can be used to differentiate ascites from pleural effusion.
Differentiating Pericardial From Pleural Effusion Animal Ultrasound Association
Fast Tfast Ultrasound Examinations For Rapid Diagnosis In Emergency Patients Clinician S Brief
Front Line Ultrasound Imaging Of The Feline Urinary
Selected Chest Ultrasound Images A Sea Shore Sign Granular Download Scientific Diagram
How To Ultrasound Detection Of Pleural Fluid Case Study Video Youtube
Pdf Thoracic Ultrasound A Method For The Work Up In Dogs And Cats With Acute Dyspnea Semantic Scholar
How To Ultrasound Detection Of Pleural Fluid Case Study Video Youtube
Pin By Dr Abuaiad On Lymphatics Lymph Nodes Sonography Ultrasound
Spontaneous Cholecystopleural Fistula Leading To Biliothorax And Sepsis In A Cat
Differentiating Pericardial From Pleural Effusion Animal Ultrasound Association
Differentiating Pericardial From Pleural Effusion Animal Ultrasound Association
Lung Ultrasound Fundamentals Wet Versus Dry Lung Signs Of Consolidation In Dogs And Cats Veterinary Clinics Small Animal Practice
Cat Of Figure 1 Thoracic Ultrasound Revealed A Mild Hypoechoic Download Scientific Diagram
Pda Echo Findings Cardiac Sonography Medical Photos Ultrasound
Top 5 Ultrasound Scenarios In General Practice Clinician S Brief
Lung Ultrasound Flooding In Fulminant Pulmonary Oedema In Cats And A Comparison With Pneumonia Vet Practice Support
Veterinary Echocardiography Newsletter 1 Effusions Animal Ultrasound Association
Focused Ultrasound Of Superficial Soft Tissue Swellings Masses And Fluid Collections In Dogs And Cats Veterinary Clinics Small Animal Practice
